Formes rationnelles formes irrationnelles

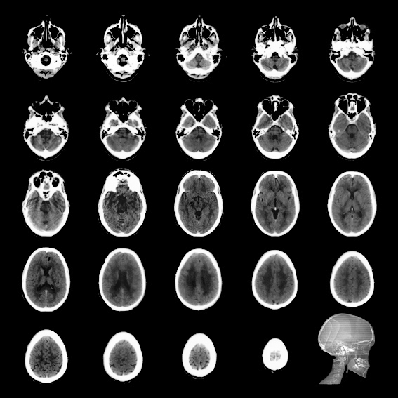
Des taches sombres et informes cernées de blanc, c’est ce qu’ont en commun l’IRM d’un crâne et des fonds de tasse à café.

Ces taches cernées ne sont apriori que des masses informes. On sait pourtant que ces taches peuvent être déchiffrées grâce aux sciences. L’une d’elles est rationnelle, l’autre est irrationnelle. Sans juger de leur véracité, ces sciences ont des buts qui peuvent être proches : comprendre l’état de santé physique ou mentale d’une personne et envisager les conséquences de cet état pour son avenir.

Les deux sciences supposent la croyance : l’une au réel, l’autre au paranormal. Cette croyance convoque dans les deux cas des reflets de l’invisible et des actes apparemment magiques. La magie dans la lecture des résidus d’un breuvage noir ou dans le fait de trancher une tête sans en mourir.

Ces formes rationnelles et irrationnelles nous donnent l’étrange sensation de nous situer entre la bonne santé et son autopsie, de nous trouver à cet instant où la science tranche dans notre vie et nous propose des énigmes à décrypter hors de nous-même, par la médiation du regard du médecin ou du chiromancien.

Au fond, dans l’histoire des images, l’art et les sciences – dures ou occultes – ne se sont-t-ils pas souvent rejoints dans l’émergence de l’invisible ?

Laisser un commentaire